103 Bulifants Blvd, Suite B
Williamsburg, VA 23188(757) 220 - 1999info@precisiondentistryofwilliamsburg.com
Williamsburg, VA 23188(757) 220 - 1999info@precisiondentistryofwilliamsburg.com

Many patients step into our practice with dreams of a brand new grin. Others are looking to repair damage and get their oral health back on track. Seeing these individuals walk out of our doors with a strong smile and newfound confidence is the reason behind our mission here at Precision Dentistry of Williamsburg. No matter your goals, we’re honored to be a part of your oral health journey. Take a look at our Before & After gallery to explore real patient stories!


Single crown replacement with gum lift using eLab protocol.

.webp)
4 porcelain crowns to replace old porcelain crowns.
.webp)
.webp)
6 porcelain crowns to replace fractured/missing crowns from tooth trauma.
.webp)
.webp)
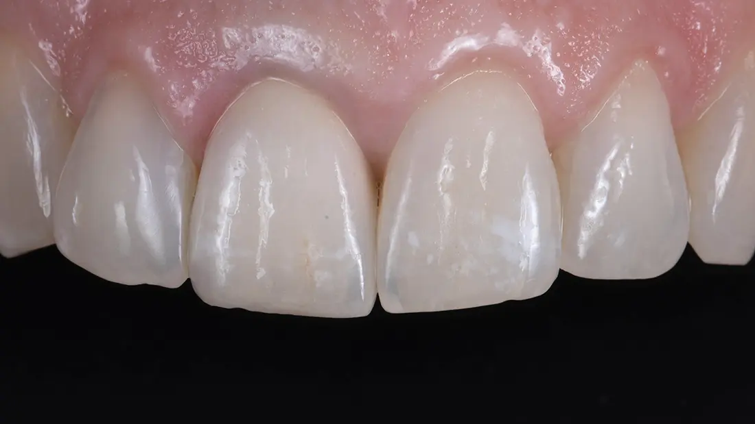
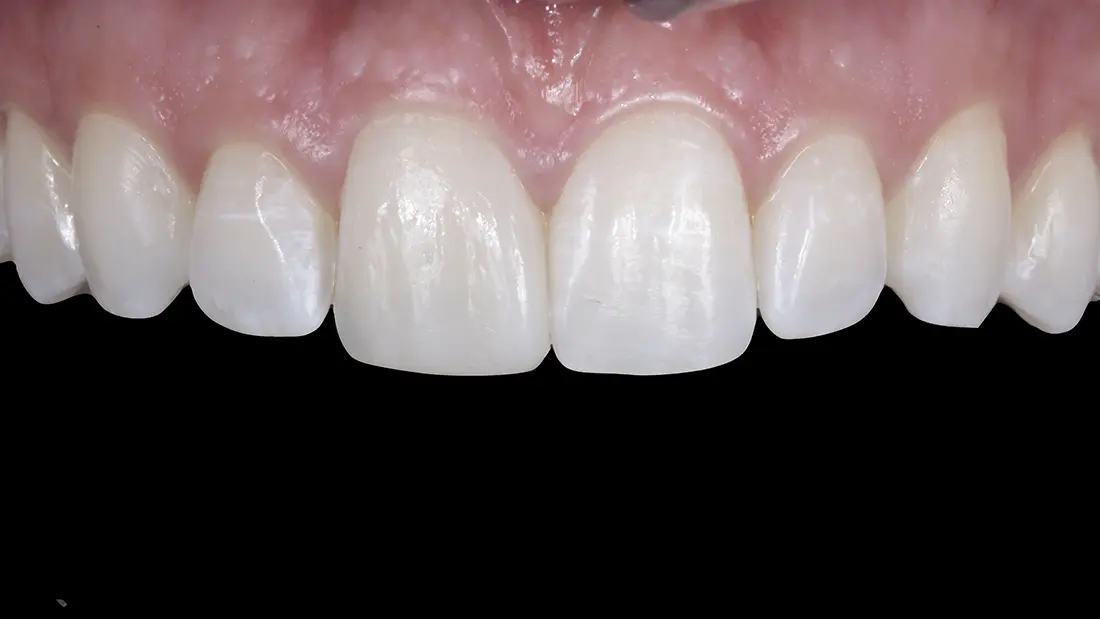
Immediate after delivery of 4 porcelain veneers. Patient presented with failing existing composites with recurrent decay. Gum lift performed prior to preparation to balance gingival contour. Completed with 4 porcelain veneers.
.webp)
.webp)
3-unit porcelain bridge (6-8), veneers and crowns - total restorations 10 porcelain (combo crowns, veneers and bridge). Treatment completed to remove hopeless teeth, improve function, and esthetics.
%20(1).webp)
.webp)
Replacement of old 6 porcelain veneers/crowns. Patient had large diastema and recession present. Existing restorations were removed. A new wax up with better contour/tooth dimensions was fabricated prior to finishing case. After photo taken immediately post-cementation (hence the inflammation). Much improved esthetics/contour and balance.
.webp)
.webp)
2 porcelain veneers to replace failing class 4 composites placed by another dentist.
.webp)
.webp)
Two porcelain veneers to replace old composite veneers.


3 composite veneers to close spaces - procedure done completely additively, with no removal of tooth structure.
.webp)
.webp)
4 composite veneers post-Invisalign to close opened spaces to improve tooth proportions/balance and replace tooth structure lost to wear. Invisalign allowed us to remove the interferences which resulted in the wear. Once the bite was corrected and balanced, composite veneers were completed completely additively with no removal of any additional tooth structure.
.webp)
.webp)
Patient presented to Dr. M with a discolored restoration on her front tooth after an accident many years earlier. Using composite resin material, Dr. M was able to seamlessly blend the restoration into her natural dentition with a single composite veneer. Only one tooth was restored. Dr. M takes the time and care needed to ensure ideal contour and texture in addition to matching shade so all esthetic restorations blend seamlessly into each patients unique smile flawlessly.
.webp)
.webp)
Patient presented to Dr. M with old composite restorations that had discolored and worn down after 10 years. After stabilizing her bite with equilibration, all 6 of the existing discolored composites were removed and replaced. The best part, no local anesthetic was required during this entire procedure.
.webp)
.webp)
Patient underwent Invisalign treatment to move teeth into more ideal functional position. After completing Invisalign, two composite veneers were completed on her lateral incisors (#7,10) to replace the small chips from an unbalanced bite prior to Invisalign. Additionally, a gum lift was completed on her front tooth (#8) to better balance the smile.

.webp)
Conservative porcelain replacement of fractured tooth. Dr. McClintock always strives to conserve as much healthy tooth structure by using the latest techniques and materials."
.webp)
.webp)
Conservative removal of failing amalgam restoration - extra care and emphasis on placing restorations with ideal contour to maintain proper hygiene - improves long term stability of restorations.
.webp)
.webp)
Replacement of discolored restoration placed by another doctor. Dr. M takes care to match restorations in the esthetic zone as seamlessly as possibly to natural tooth structure by employing multiple techniques included stain and layering of composites to achieve the highest esthetic outcome. The best dentistry is invisible dentistry.
.webp)
.webp)
Additive restoration with no removal of any additional tooth structure - again time take to ensure a seamless transition between tooth and filling to allow for an invisible restoration.
.webp)
.webp)
Purely additive composite restorations to restore missing tooth structure due to erosion on the front 4 teeth.
.webp)
.webp)
Purely additive technique to rebuild tooth structure lost to erosion. Patient presented with several areas of erosion. Records and wax up was completed. 10 teeth were rebuilt in an additive manner using injection molded technique to rebuild the dentition at one visit.
.webp)
.webp)
Additive technique to rebuild tooth structure lost to erosion. Patient presented with several areas of erosion. Patient went through Invisalign first to move teeth into ideal position. Dr. M worked directly with the orthodontist to ensure proper placement of teeth for ideal outcome. Records and wax up was completed at the end of Invisalign treatment. 10 teeth were rebuilt in an additive manner using injection molded technique to rebuild the dentition at one visit.
.webp)
.webp)
Purely additive technique to rebuild tooth structure lost to erosion. Patient presented with several areas of erosion. Records and wax up was completed. Teeth were rebuilt in an additive manner using injection molded technique to rebuild the dentition at one visit.
.webp)
.webp)
Patient presents to the office with fractured front teeth after a motorcycle accident. Records were completed and purely additive composites were completed on the front 4 teeth to restore the patients smile. additionally a gum lift was done on #10 to match the level of #7 and improve the balance. all restorations and gum lift were done in a single visit.
.webp)
.webp)
Patient was referred from orthodontist after treatment to turn her canines into laterals. Patient was congenitally missing her lateral incisors. records and a wax up were completed prior restorations. teeth were restored in a completely additive manner, removing no tooth structure. Layered composite restorations with stains allowed Dr. M to create the illusion that the patients canines were laterals without sacrificing any tooth structure in the process.
.webp)
.webp)
Patient was referred from orthodontist after treatment to turn her canines into laterals. Patient was congenitally missing her lateral incisors. records and a wax up were completed prior restorations. teeth were restored in a completely additive manner, removing no tooth structure. Layered composite restorations with stains allowed Dr. M to create the illusion that the patients canines were laterals without sacrificing any tooth structure in the process.
.webp)
.webp)
Patient presented for an emergency visit with fractured front tooth. Tooth was restored with direct composite restorations the same day.
.webp)
.webp)
Patient presented for an emergency visit with fractured front tooth. Tooth was restored with direct composite restorations the same day.
.webp)
.webp)
Patient presented for an emergency visit with fractured front tooth. Tooth was restored with direct composite restorations the same day.
.webp)
.webp)
Patient presented for an emergency after an umbrella opened up from her bag and broke her tooth. In one visit, Dr. M was able to seamlessly restore the patient as good as new with direct composite without sacrificing any additional tooth structure.
.webp)
.webp)
Patient presented for an emergency visit with fractured front teeth right before leaving for a trip. Using composite, Dr. M was able to put the patient back together without removing any additional tooth structure using composite resin.









